Copy Code
Now is the best time for you to buy serious illness cover….because if you don’t…
This is how Stephen Lane, a senior life insurance underwriter at New Ireland Assurance began his presentation.
I almost dozed off expecting a sales pitch on how their serious illness cover was better than the competition yadda yadda.
But I was wrong, Stephen gave six superb (and not at all pitchy) reasons you should buy serious illness cover at a young age….regardless of the insurer.
You see, in his daily grind, Stephen encounters the types of illnesses that cause problems for customers when applying for serious illness cover.
Fortunately you can avoid these illnesses affecting you…if you act quickly.
Let’s go through them in more detail.
You might be asking what are autoimmune diseases?
Instead of trying to explain each one in turn, look at this chart instead, how many have you heard of?

I regularly see applications from young people (in their 20s/30s) who have suffered from one of these illnesses.
Autoimmune disorders are indiscriminate bastards who can strike at any time, at any age.
Stephen told us:
With remarkable consistency, every single one of the illnesses listed in that chart is most likely to happen when you’re 30 years old.
Half of all customers with those ailments will get them in their 20s, the other half in their 40s and 50s.
They are not illnesses of the elderly.
Once you have contracted an autoimmune disorder, it makes it harder to get serious illness cover.
So that’s the first reason you should apply for serious illness cover when you’re young and healthy.
Moving onto reason number two.
You don’t need an athletic build to get the normal price for serious illness cover.
But as get older and your metabolism slows down, your once toned physique can start to get a bit flabby.
If we don’t watch ourselves, all of a sudden, we’re at a BMI that causes a problem for serious illness cover.
So before the old waistline begin to expand even further, apply for serious illness cover. Simply waiting 12 months could mean the difference between getting the normal price and paying 50% more.
The third reason to take out serious illness cover now is family history.
This is the next most common barrier to getting the normal price for serious illness cover.
The longer you wait to get cover, the more potential there is for family history events to cause problems.
Stephen used the example of a lady whose mother had breast cancer in her early 50s. This lady can get life and full serious illness cover at the normal price.
But if she waited to apply until such time as her sister had acquired that illness, she will have great difficulty getting serious illness cover.
Get cover in place before family history events start to arise.
The longer you leave it, the more chance of your parents, brothers or sister suffering an illness that will affect your application.
Let’s move on to reason number 4 – tests/investigations.
Buy serious illness cover before you start to get symptoms that result in your GP referring you for tests
Back in the day, you went to your GP with a headache and he’d send you home with some Anadin.
Nowadays, the underwriters are finding that if you so much as look crooked at your doctor, they will send you off for some kind of screening.
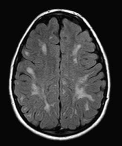
In particular a problematic one is brain MRIs like this one:

See the white patches?
They are called white opacities and are very common.
Their importance is contentious in the medical industry so your GP might not have any issue with them.
But in the insurance industry, they can cause severe difficulty in terms of getting serious illness cover.
Stephen stressed that he wasn’t saying you should try and get cover before your MRI.
Because at that stage it’s too late.
Instead buy critical illness cover long before your GP has any reason to send you for such a screening.
Let’s move on to reason number 5:
There’s an awful lot of sugar consumed in Ireland these days and because of this Type 2 Diabetes is common and will be more prevalent in the future….at ever earlier ages.
You can’t get serious illness cover once you have been diagnosed with Type 2 Diabetes and it will cause severe loadings for life insurance.
But you can still get cancer cover
Unfortunately many of you reading this article (or your loved ones) will go on to develop Type 2 Diabetes.
If you think you’re at risk, you should get serious illness cover while you still can.
And finally, here’s reason number 6 not to put off serious illness cover any longer.
Cast your eyes back up to the autoimmune illnesses chart and there are two illnesses in particular that you should note:
The reason I have highlighted these two is because they are claimable illnesses on a serious illness contract.
We see a lot of applications from customers who have been diagnosed with multiple sclerosis in their 20s and 30s.
If only they had taken out serious illness cover before their diagnosis, they would have received a payout on their policy.
As Stephen said
We, as an industry, are doing young people a disservice if we don’t try to get them cover before these illnesses strike.
Hopefully you found that useful especially if you’re sitting on the fence about buying serious illness cover.
If this spurs you on to pull the trigger on serious illness cover, then I’ve done my job.
I pray you never suffer a specified illness but if you do, you’ll look back on this article as the most important article you have ever read.
Let me know if you need some help because once you decide you need cover, then you need to figure out how much and which insurer to apply to.
That’s when I’ll appear and dazzle you with my knowledge 😉
I’m on 05793 20836 or complete the form below and I’ll be right back.
Nick McGowan
lion.ie | making life insurance easier
We’re an online life insurance broker. We compare life insurance quotes for mortgage protection, life insurance, specified illness cover and income protection from all 6 leading life insurance companies in Ireland, instantly and anonymously.
Watch our video